top of page

Case
症例紹介
眼瞼下垂
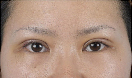
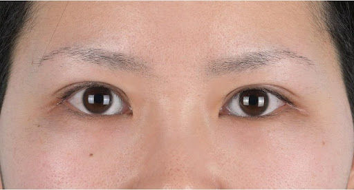
二重の症例写真と施術詳細
施術詳細
手術名
二重瞼術
腱膜前転重瞼術
術式
費用
3割負担約50,000円
リスク
手術当日は腫れの予防のため、早く横になって冷たいタオルを目に当てて、安静にすることが大切です。
副作用
術後の腫れ
大きな腫れは2〜3日程度で、目の周りが赤や紫の内出血斑になることがあります。それでも2週間ほどで取れていきます。まれに術後に血が溜まり、目が開かないほど腫れることがあります。そのときは翌日に傷を開けて血液を出します。
痛み
痛みは術後の痛み止めでコントロールできます。
リスクと副作用に対する予防
われわれは顕微鏡を使ってより細かな手術を行います。ごく微量の出血も細かく止めていきます。CO2レーザーを用いて血を出さずに処理しますので、術後の腫れも最小限になります。
内眼角形成術のskin redraping法は、目頭の部分に一切傷を残さない方法ですので、他の方法と比べて傷が目立ちません。
医師の解説
知人に聞いて来院。目の開きを良くするため腱膜前転術法を組み合わせた重瞼術を行っています。軽い腫れ瞼なので、眼窩脂肪も少し除去しました」。術後は目を開けやすくなり、頭痛もなくなりました。可愛いと言われるそうです。術後の傷跡もあまり目立ちません。
bottom of page






